Dr. Juan Carlos Iannicelli
banner
3594 visitas Publicada: 07/16/14

RECIEN NACIDO CON LESIONES REDONDAS EN PIEL.

¿IMPLICAN RIESGO?

 

¿Implican riesgo?

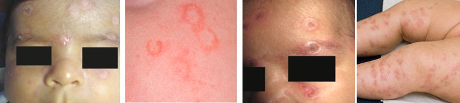
Niño de 15 días de vida que consulta por lesiones en cuero cabelludo y cara, presentes desde el nacimiento.
El niño por otro lado parece sano, se alimentaba con leche materna exclusivamente, y su ganancia ponderal es la esperada.
En el examen físico, se observan en cara y región temporal, lesiones de aspecto anular, de bordes eritematosos, levemente sobreelevados, con centro claro, sin signos de descamación. No parecían producir ninguna molestia al RN.
Resto no presentaba nada de importancia.
Antecedentes perinatológicos normales. Antecedentes familiares: sin relevancia.
No hay enfermos entre los convivientes


¿Cuál es su sospecha diagnostica?
En las lesiones de piel, el pediatra tiene que conocer, la posible asociación con alteraciones más importantes,   ya que generalmente son estas las que van a marcar el riesgo.
Por ejemplo las manchas café con leche llevan a descartar según sus características enfermedades como la Neurofibromatosis o  Síndrome de McCune-Albright, cuyas repercusiones son muy severas, o los hemangiomas faciales con alteraciones vasculo-cerebrales.

Lupus eritematoso neonatal (LEN)  fue reportado por primera vez en 1928 en dos hermanos con bloqueo cardíaco congénito (BCC), nacido de una madre con el síndrome de Sjogren (Aylward, 1928). En 1954, McCuistion y Schoch sugirieron por primera vez un vínculo entre la enfermedad autoinmune de la madre y las lesiones cutáneas del lupus en el recién nacido (McCuistion y Schoch, 1954).
El lupus eritematoso neonatal (LEN), es una enfermedad poco frecuente del recién nacido asociada al paso transplacentario de, autoanticuerpos IgG maternos a la circulación fetal. Los autoanticuerpos asociados a esta enfermedad son en la mayoría de los casos anti-Ro (SS-A), y con menor frecuencia anti-La (SS-B) y anti-U1-RNP.
En el momento del diagnóstico, las madres son asintomáticas en 40 a 60% de los casos, y muchas no conocen su condición.
Las manifestaciones más comunes son las lesiones cutáneas y bloqueo cardíaco congénito. Los hallazgos cutáneos son variables y suelen comenzar en las primeras semanas o meses de vida.
Es una condición rara y se estima que ocurre en 1 de cada 20.000 nacidos vivos.
LEN  se ve en menos del  2,5 por ciento de los bebés nacidos de madres con estos anticuerpos, y una gran mayoría de las madres son asintomáticas en el momento del parto.

El curso es generalmente benigno y autolimitado, sin embargo, LEN   puede estar asociada con secuelas graves.

Lesiones cutáneas: las lesiones cutáneas del LEN pueden ser congénitas (20%) o aparecer dentro de los primeros 3 meses de vida. Son placas eritemato-escamosas, con bordes sobreelevados y centro más claro, de disposición anular o policíclica que resuelven antes del año de vida. En la mayoría de los pacientes las lesiones se ubican en áreas fotoexpuestas (cara y cuero cabelludo), aunque cualquier parte de la piel puede estar afectada.


A diferencia de las lesiones cardíacas, las lesiones cutáneas son transitorias. Suelen aparecer en las primeras semanas de vida, aunque pueden estar presentes ya al nacimiento, y muchas veces aparecen en relación con la exposición solar o por la fototerapia para el tratamiento de la hiperbilirrubinemia neonatal. Las lesiones típicas consisten en pápulas y placas eritematosas,  que adoptan una morfología anular. En una serie reportada, las lesiones de morfología  anular fueron las más frecuentes, hallándose en un 87,5% de los casos.
También puede haber telangiectasias, púrpura, lesiones que simulan un eritema exudativo multiforme o incluso un vitíligo, y existen casos publicados con lesiones que recuerdan la cutis marmorata telangiectásica congénita. Las lesiones cutáneas tienden a resolverse espontáneamente antes del año de vida,  coincidiendo con el aclaramiento de los anticuerpos maternos de la sangre del niño.
El eritema periorbitario, denominado 'ojo de mapache' u 'ojo de búho', es una característica muy común.

A veces, las lesiones pueden ser urticarianas, descamativas, ulcerosas o costrosas [28,29]. Lesiones ampollosas pueden ser vistos con una especial predilección por las plantas de los pies.

Menos frecuentemente se observan lesiones purpúricas, atróficas, telangiectásicas y similares al  eritema multiforme.

Manifestaciones cardíacas:el Bloqueo Auriculo Ventricular (BAV) completo es la manifestación clínica más grave del lupus neonatal, debido a que es irreversible y comporta una alta tasa de mortalidad (de hasta un 20%) y morbilidad, con el requerimiento de marcapasos permanente en la mayoría de los pacientes que sobreviven. La presencia de signos clínicos está básicamente condicionada por el ritmo ventricular de escape, que se sitúa entre 15 y 70 latidos por minuto.

En el tejido cardíaco fetal los  anticuerpos pueden tener 3 efectos: pueden inducir una miocarditis, pueden inducir un trastorno del ritmo e interferir con el mecanismo de apoptosis provocando una sensibilización y posterior fagocitosis de las células apoptóticas. Estos tres elementos son capaces de inducir una inflamación autoinmune que provoca en último término una lesión del sistema de conducción y su sustitución por tejido fibroso. La incapacidad de restaurar este tejido fibroso es lo que explica la irreversibilidad de las lesiones cardíacas.

Se desarrolla en el segundo trimestre del embarazo y es de carácter permanente. La bradicardia fetal es un signo de sospecha durante el embarazo, confirmándose a través de ecocardiografía fetal.

El pronóstico  lo marca el compromiso cardíaco, ya que las otras manifestaciones son en su mayoría transitorias y auto-limitadas.

Diagnóstico y diagnóstico diferencial

Por lo general, el diagnóstico se establece en base a las características clínicas y la demostración de lupus asociadas a anticuerpos en el suero de la madre o del bebé afectado. LEN puede imitar muchas condiciones.
Diagnóstico diferencial de  LEN incluyen dermatitis seborreica, dermatitis atópica, acné neonatal, tiña corporal, la psoriasis, el granuloma anular, eritema multiforme, histiocitosis de células de Langerhans,  rubéola congénita, y sífilis congénita.

CONCLUSIÓN:

Lupus eritematoso neonatal  se refiere a un espectro clínico de  alteraciones cutáneas, cardíacas y sistémicas observadas en los recién nacidos de madres con anticuerpos anti Ro / SSA y La / SSB. La condición puede estar asociada con secuelas graves.
LEN cuenta con un amplio espectro clínico que puede incluir no sólo la dermatitis transitoria, bloqueo cardiaco, alteraciones hematológicas y hepatobiliares, sino también el sangrado rectal y atrofia plantar dolorosa. Las manifestaciones cutáneas son importantes para reconocer como un marcador de LEN, no sólo debido a que el riesgo de bloque cardiaco, sino también debido a que la madre tiene un riesgo significativo (probablemente al menos el 25%) de que un niño posterior esté afectado potencialmente por LEN, con una amenaza de vida por bloqueo cardíaco de tercer grado.
Los recién nacidos con LEN deben tratarse  con participación de un equipo multidisciplinario.  

 

ANTE CUALQUIER LESION REDONDA EN PIEL DE UN RECIEN NACIDO O LACTANTE MENOR, HAY QUE DESCARTAR LEN.