Dr. Juan Carlos Iannicelli
banner
1043 visitas Publicada: 07/07/14

NIÑO QUE SE NIEGA A CAMINAR.

Un niño de 17 meses de edad se presenta con antecedentes de una semana, sin querer caminar aún con apoyo y se desplaza gateando. Este cuadro fue agravándose en las últimas semanas. Y la madre refiere que parece molestarse (dolor) con los cambios de pañales, al movilizarle las articulaciones de cadera y piernas. 
No existen antecedentes de enfermedad, esta afebril, no refiere traumatismos. Micción y función intestinal normal.

Antecedentes personales:

Su desarrollo psicomotor fue apropiado para su edad, deambulación al año de edad, concurre a guardería. Resto de sus familiares sanos, sin afectación de ningún tipo en la actualidad.
El examen del paciente reveló leve disminución de los reflejos profundos de los miembros inferiores, buena respuesta refleja plantar. La musculatura de las piernas y la columna son normales. Tona anal y examen de caderas normales.
Mantiene posición de bipedestación normalmente, camina solo pocos pasos con apoyo, gatea bien sin asimetría en sus movimientos.
El laboratorio inicial revela: PCR: 47mg/l, ERS: 78 mm/hora, G Blancos: 9.200/ml,Neutrofilia.
Ecografía caderas y abdomen: normales
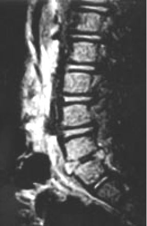
Rx toracolumbar muestra disminución de la altura del disco entre L5-S1 y perdida de la claridad. RM confirma los hallazgos de la Rx.

 

Realizó 10 días de antibioticoterapia con ceftriaxona, siguió con ATB oral 2 semanas más.
A los pocos días mejora, la PCR es de 3 mg/l, los reflejos se logran mas fácilmente, y se incorpora por tiempo mas prolongado. Al finalizar el tratamiento se normalizaron todos los parámetros inflamatorios, y caminaba normalmente. 

¿Diagnostico y diagnostico diferencial?

El diagnóstico más probable es discitis L5-S1. Las imágenes por resonancia magnética de la columna, muestra abombamiento tanto anterior y posterior del disco L5-S1, con  erosión de los bordes anteriores, tanto de las vértebras L5 y S1. Existe también evidencia de edema dentro de los cuerpos vertebrales. Las apariciones radiológicas tienen más probabilidades de ser compatible con una discitis suave.     

 Resonancia Magnética de columna al ingreso.

DISCITIS - OSTEOMIELITIS VERTEBRAL

Presentación clínica
El síntoma predominante que presenta en los niños con discitis fue dictada por las habilidades verbales del niño. Los niños, < 3 años de edad, se presentaron con la negativa a caminar o cojera, mientras que los pacientes mayores a menudo se quejaba de dolor de espalda, o dolor abdominal. 

El 57% de los niños con osteomielitis vertebral presenta con dolor de espalda, y algunos se quejan de dolor en el cuello, hombro, costillas, o dolor abdominal.
El sitio de localización con frecuencia relacionada con la presentación clínica.
El 68% de los niños con discitis tenían afectación de la zona lumbar o lumbosacra, le sigue la zona torácica y menos frecuente la cervical. Ninguno de los pacientes tenía afectación multifocal de la columna vertebral o de otros huesos.
Más raramente se puede observar alteraciones del control de esfínter, y fiebre prolongada.

Los hallazgos físicos incluyen la ausencia de lordosis normal, irritabilidad al examen, la resistencia a la flexión pasiva y sensibilidad a la palpación, sobre todo a la compresión de la apófisis espinosa que corresponde a la vértebra afectada. Discitis no está consistentemente asociada con la infección previa, pero la osteomielitis vertebral es más común como una infección secundaria de otro foco.
La evidencia sugiere que la vasculatura final de bajo flujo, de las arterias intermetafisarias predispone a los microorganismos introducirse dentro de las vértebras.

Algunas teorías sostienen el hecho de que las altas presiones abdominales pueden causar flujo retrógrado a través de los organismos venosos plexus. Los organismos más frecuentemente encontrados por biopsia y aspiración incluyen Staphylococcus aureus, Streptococcus pneumoniae, Bartonella henselae, Kingella kingae, Mycobacterium tuberculosis, y anaerobios. La mayor parte de las veces, las muestras no se obtienen y la etiología sigue siendo desconocida.
Discitis y osteomielitis vertebral son raros en los niños y requieren un alto índice de sospecha para el diagnóstico oportuno. El diagnóstico debe ser considerado en un niño con una cojera o en un bebé que muestra una preferencia postural o posicional.
Las radiografías simples de la columna lumbar se vuelven positivas después de 2 a 4 semanas de los síntomas con el estrechamiento del espacio discal y bordes irregulares finales de la vértebra vecina. La normalidad inicial de los rayos X pueden causar confusión diagnóstica a menos que se tenga conocimiento.
La gammagrafía ósea puede ser positivas 1 semanas después de la aparición de los síntomas y ha demostrado ser un método seguro para diagnosticar la infección del espacio discal.
La resonancia magnética de la columna vertebral es el estudio de elección, ya que puede detectar discitis temprana, y excluyen los tumores de la columna vertebral.

Listado de diagnosticos diferenciales.

Articular: artritis séptica, sinovitis transitoria
óseos: osteomielitis, tuberculosis de la columna vertebral tumor óseo,.
Sistema nervioso: síndrome de Guillain-Barré, tumor en la médula espinal.
Otros: leucemia linfoblástica aguda, linfoma de Hodgkin, neuroblastoma

No hay un tratamiento estándar para la discitis. Muchos profesionales  la tratan con antibióticos empíricamente, sin embargo, muchos pacientes tienen una resolución espontánea de los síntomas sin tratamiento.
El tratamiento de la osteomielitis, se basa en el agente causal e incluye antibióticos por vía intravenosa durante 6 semanas, así como terapia física. Hasta el 90% de los pacientes se recuperan completamente, mientras que el 10% tienen déficit neurológico permanente. El 40% de los pacientes siguen teniendo cambios radiográficos sin déficit clínico.