Dr. Juan Carlos Iannicelli
banner
2912 visitas Publicada: 07/15/14

FRENILLO LINGUAL CORTO O ANQUILOGLOSIA.

El frenillo sublingual es un pliegue de mucosa que conecta el borde inferior de la lengua, con el piso de la boca.
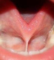
Los términos 'frenillo' 'anquiloglosia' “frenillo corto', se refieren a un frenillo lingual restringido debido a la consolidación del tejido, que por lo general lleva a reducir la movilidad de la lengua. A veces, cuando un niño con frenillo lingual corto, intenta protruir  la lengua, se forma un aspecto característico  de  'W”.

 

La  anquiloglosia,  ocurre  aproximadamente  en 4  de cada 100 lactantes.

La lengua normal debe ser capaz de extenderse más allá de la cresta de la encía inferior y, lo más importante para la lactancia, se debe elevar hasta llegar a contactar con el paladar.

La anquiloglosia en el recién nacido o lactante, es un tema de controversia  actual, entre profesionales, así como entre grupos de especialistas.

La controversia implica no sólo el manejo, sino también la definición de esta anomalía. Un frenillo lingual ajustado se considera una malformación menor para algunos investigadores. Pero, también se ha encontrado como parte de ciertos síndromes malformativos.

Las polémica se centran fundamentalmente en, si frenillo lingual corto, produce dificultades para la alimentación, si se asocia con trastornos en la adquisición del lenguaje y habla, y finalmente si se debe “cortar” - frenectomia o frenilectomia-  rutinariamente en los recién nacidos o en forma selectiva. 

¿la anquiloglosia se  ASOCIA CON DIFICULTADES en la lactancia?

Varios estudios han tratado de responder a esta cuestión en los últimos años, mediante dos metodologías diferentes, es decir, ya sea mediante la medición de la incidencia de, dificultades en la lactancia materna en cohortes de bebés con anquiloglosia, o mediante la medición de la incidencia de la anquiloglosia en los recién nacidos con dificultades en la lactancia, comparado con un grupo de control.

Los estudios demuestran claramente, una fuerte asociación entre la presencia de anquiloglosia y los problemas de lactancia materna en recién nacidos.
Tres trabajos randomizados controlados recientes han evaluado los efectos de la frenectomía, en la díada madre-bebé cuando los problemas de alimentación de los bebés eran relacionados a su anquiloglosia.

A la luz de estos resultados, el debate sobre la anquiloglosia y su relación con problemas de la lactancia ya no debe seguir basándose en informes anecdóticos o ideologías.

Por lo tanto debemos considerar a los recién nacidos con anquiloglosia  en mayor riesgo de problemas de la lactancia, aceptando que muchos niños con anquiloglosia se alimentan sin problemas.

La presencia de anquiloglosia, asociada condificultades en la lactancia materna,  debe constituir un indicio válido para considerar la frenulectomía. Esta conclusión, no significa que hay que cortar  el frenllo lingual, a todos los niños, ante minimos problemas de lactancia. y anquiloglosia. Esta situación, debe resolverse en los primeros días de vida.

¿El frenillo lingual corto produce alteraciones en la adquisición del lenguaje / habla?
Este punto es uno de los más controversiales, cuando se trata este tema.
A través de los siglos, ha sido una creencia popular, que si la punta de la lengua no puede moverse facilmente, por anquiloglosia, debe afectar el habla. De hecho, esto es mencionado en la Biblia. En Marcos 7:35, que dice: '... y el lazo que ataba su lengua se soltó y habló claramente'


A pesar de la creencia común sobre este defecto, no existe evidencia en la literatura que la anquiloglosia suele causar defectos del habla.

Ciertamente, los niños con anquiloglosia frecuentemente no tienen, problemas en el habla.

En realidad, no tiene sentido que la restricción lingual, tenga un efecto importante sobre el habla, cuando se considera el tipo de sonidos que se producen por la movilidad, de la punta lingual.

Los sonidos linguales alveolares (t, d,n) se producen con la parte superior de la punta de la lengua y por lo tanto, pueden ser producidos con muy poca elevación o movilidad de lengua. Los sonidos (s) y (z) requieren elevar ligeramente la punta de la lengua, pero pueden se producidos con poca distorsión, si la punta está en el suelo de la boca. Generalmente, se debe elevar de la punta de la lengua, a la cresta alveolar para la producción de una (l).

La anquiloglosia puede considerarse un factor contribuyente si el niño no puede producir estos sonidos, y por otro lado, todos los demás sonidos del habla se producen normalmente. La anquiloglosia, puede ser también un problema mayor, si hay una disfunción motora oral.

Se debe reconocer, que tanto la anquiloglosia y los problemas habla se producen comúnmente en niños. Por lo tanto, no es sorprendente que estas condiciones a menudo se presenten juntas.

Por lo tanto una asociación de dos problemas comunes, no significa que existe una relación causal.

Por lo tanto, cuando hay problemas en el habla y anquiloglosia, esto puede ser una coincidencia y deben excluirse otras causas, que generen los problemas del habla.

La mayoría de expertos en patólogía del habla-lenguaje llegan a la conclusión que frenectomía  rara vez está indicada por trastornos del habla, a menos que sea muy grave, o haya problemas motores articulares concomitantes.

Puede, sin embargo, estar justificada por problemas con la alimentación temprana, la manipulación del bolo, la dentición, o la estética. Aunque  la frenectomia es un procedimiento menor, con un bajo riesgo de morbilidad, el verdadero peligro es la decepción que puede resultar cuando se les hace creer a los padres,que esto corregirá los problemas del habla,que son en realidad debido a otras causas.    

 

¿Se debe cortar el frenillo lingual rutinariamente en los recién nacidos?

Cuando la anquiloglosia es evidente desde el nacimiento, una opción es  dejar que la naturaleza siga su curso, a menos que haya problemas tempranos de alimentación. Si el niño demuestra cualquiera de los problemas mencionados anteriormente, se puede hacer la  frenectomia (liberación quirúrgica de la lengua). En tiempos pasados, las matronas utilizaban una uña afilada, para cortar el frenillo inmediatamente después del nacimiento.

Aunque, la frenectomia es un procedimiento simple de bajo riesgo, se debe realizar sólo por aquellos que han sido entrenados en esa táctica.

Esta intervención se justifica, sólo si produce una mejoría significativa en la lactancia materna, o de otros problemas como el habla.

Es decir, esta  intervención debe realizarse, en algunos pocos niños, en los que este plenamente  demostrado el beneficio de la frenulectomía.

 

Complicaciones.
La complicación más temida de una frenectomia , es la necrosis de los colgajos, además puede haber hematomas e infecciones.  
La complicación más común de la  frenectomias y frenoplastías es la recurrencia, aunque una anquiloglosia recurrente es siempre menos severa que la original. Otras complicaciones descritas son: infección, sangrado excesivo, desarrollo de un nuevo problema del habla y la glosoptosis debido a excesiva movilidad lingual