Dr. Juan Carlos Iannicelli
banner
5843 visitas Publicada: 11/18/14

PAROTIDITIS RECURRENTE JUVENIL

La parotiditis se encuentra con relativa frecuencia en la población pediátrica. Por lo general es aguda y autolimitada y normalmente representa infecciones virales (paperas, virus EpsteinBarr, adenovirus, virus Coxsackie, influenza, VIH, citomegalovirus) o bacteriana (Staphylococcus aureus).
La parotiditis aguda recurrente (PAR) es una enfermedad de la infancia, caracterizada por episodios de inflamación parotídea, asociada a sialectasia no obstructiva.

INTRODUCCIÓN

Entre las causas de parotiditis recurrente en la edad pediátrica se encuentran las infecciones virales (virus de Epstein-Barr, citomegalovirus), enfermedades autoinmunes (fundamentalmente el síndrome de Sjögren) y algunas inmunodeficiencias (VIH).

En los niños, el agrandamiento de la región parotídea es muy probable, que sea causado por inflamación o infección de la glándula parótida, aunque ocasionalmente se pueden hallar lesiones tales como quistes congénitos, linfangiomas o neoplasmas (benignos o malignos). 
La parotiditis puede ser de origen bacteriano, la mayoría por patógenos comunes como Staphylococcus aureus, y bacterias anaeróbicas, pero en la mayoría los agentes permanecen desconocidos.

La parotiditis recurrente (parotiditis crónica, parotiditis recurrente infantil o juvenil) es la segunda causa de agrandamiento de la glándula parótida, y ha sido definida como una inflamación recurrente, generalmente asociada con sialectasias no obstructivas de la glándula parótida. Es probable que factores hereditarios estén involucrados en la causa de la parotiditis juvenil, en un subgrupo de pacientes. Esto intenta explicar el disturbio del balance proteolítico, el cual puede jugar un rol en el desarrollo de los síntomas.

Se caracteriza por episodios recurrentes de inflamación y/o dolor, usualmente acompañadas de fiebre y malestar. Afecta generalmente a niños de 3 a 6 años de edad, pero puede presentarse antes o después de estas edades (3 meses a 16 años).
Es una condición rara y su etiología sigue siendo un enigma, se discute que sea causada por una anormalidad congénita o adquirida de los ductos de la glándula, con ataques recurrentes de infección ascendente, tal vez sumados a deshidratación.
Desde el punto de vista clínico, se presenta como tumefacción dolorosa durante la masticación-deglución. Generalmente la afectación es unilateral o bilateral, con predominio de uno de los lados. El número de ataques varía individualmente, con episodios cada 3 a 4 meses como patrón más común. Luego de la pubertad los síntomas habitualmente remiten y pueden desaparecer completamente.

El diagnóstico se realiza sobre bases clínicas y puede confirmarse con la ecografía, en algunos casos suplementarse con sialografía o tomografía computarizada (TC) o resonancia nuclear magnética (RNM).
El tratamiento del episodio agudo tiende a aliviar los síntomas y prevenir el daño del parénquima glandular, analgésicos y antibióticos han sido rápidamente efectivos en el alivio del dolor e inflamación. En el caso que persista más allá de la adolescencia deben plantearse tratamientos más agresivos.

ETIOPATOGENIA

Se han propuesto una variedad de factores etiológicos para PRJ, incluyendo la infección viral, la autoinmunidad, alergia, y la infección ascendente causada por defectos estructurales congénitos.
También se han sugerido que factores genéticos podrían jugar un rol, ya que han sido descritos familias en los que se ven afectados dos hermanos, o en donde se vieron afectados los miembros de más de una generación. Por lo tanto, el patrón de transmisión es consistente con herencia autosómica dominante con penetrancia incompleta y expresión variable.
Es tentador especular sobre la naturaleza de los genes que pueden ser responsables de PRJ. Genes de enzimas salivales, o los que codifican los elementos estructurales del sistema de drenaje, o pueden ser implicados genes relacionados con la respuesta inmune.

Aunque han sido consideradas numerosas teorías patogénicas, incluyendo malformaciones congénitas del ducto parotideo, enfermedades inmunológicas sistémicas, infecciones primarias o secundarias, y factores alérgicos o hereditarios, la etiología de la PRJ permanece desconocida.

Sin embargo, se postulan mecanismos etiopatogénicos diferentes a los del adulto, en los que el fenómeno autoinmune desempeña un papel importante.
Parece relacionarse con una disminución del flujo de saliva que condiciona cambios displásicos en la glándula, que la predisponen a la inflamación recidivante. Puede relacionarse así mismo con infecciones en ascenso del área orofaríngea, fenómenos alérgicos y déficit inmunitario.

“Tradicionalmente, la infección ascendente desde la cavidad oral ha sido considerada el evento primario, y a las sialectasias como un cambio secundario”. Se propuso que los episodios recurrentes de inflamación parotídea son el resultado final de una secuencia de eventos:
Estos cambios, sumados a la posibilidad de mayor reducción en el flujo de saliva, entonces predisponen a inflamaciones parotídeas recurrentes.
Un flujo de saliva reducido puede resultar de daño glandular causado por infección primaria. Sin embargo, puede ser el factor primario reducido aún en glándulas no afectadas en pacientes con enfermedad unilateral. Esto sugiere que aquellos con bajo flujo de saliva podrían estar predispuestos a sufrir infecciones ascendentes. Esta relación podría también explicar la tendencia familiar que ha sido reportada.                  
El cuadro histológico incluye infiltración linfocítica rodeando los ductos intralobulares, esta infiltración daña la pared reticular ductal, llevando a la extravasación de secreciones dentro del parénquima glandular, y por consiguiente exacerbación de la inflamación. La fragmentación del tejido conectivo que sostiene los ductos intralobulares fue también implicada en la producción de las características sialectasias punctatas.                     

Uno de los principales dilemas en el diagnóstico es que, si este cuadro represente el comienzo del Síndrome de Sjögren (desorden autoinmune en el cual hay infiltración linfocítica de glándulas lagrimales y salivares que lleva a una queratoconjuntivitis seca y xerostomía), y que puede a su vez producir aumento del tamaño de la parótida.
En una serie de 40 niños (mujeres 35/40, con una edad de comienzo entre 9 y 12 años)  Las manifestaciones más comunes de este síndrome fueron: inflamación recurrente de parótida 72.5%, mientras los síntomas oculares y orales fueron una minoría. Otros signos y síntomas al comienzo fueron artralgia y artritis 10%, fiebre  10%,  fatiga 7,5%,  tumefacción submandibular 5%, manifestaciones de piel (eritema anular con inflamación de parótida debe sospecharse este Síndrome) – los signos de sequedad de mucosa y conjuntiva fueron infrecuentes, a diferencia con la presentación en el adulto.

Por lo tanto la forma inicial tiene una presentación muy similar a la PRJ, pero es de notar que las edades de comienzo son diferentes;  9 años vs. 3 años de la PRJ.

Habitualmente tiene un comienzo insidioso y lentamente progresivo. Además, cursan con ERS elevada, hipergamaglobulinemia, factor reumatoídeo y anticuerpos antinucleares positivos, esto, no se observó en ningún paciente de una serie de 16 niños chilenos, con edad de comienzo entre 6m a 8 años

La edad media de comienzo de la inflamación parotídea en el Síndrome de Sjögren es significativamente mayor que en la parotiditis recurrente de etiología desconocida.
Los pacientes con comienzo de episodios a los 5 años de edad o mayores merecen ser estudiados por desórdenes inmunes sistémicos subyacentes.
Los niños que comienza a edades mayores con episodios de parotiditis recurrente, es más probable que tengan un diagnostico subyacente de enfermedad de  Sjogren, con el comienzo de agrandamiento de la parótida como único signo lo cual se da en el 60% de los pacientes.

En una serie de 4 niños con Sjögren (3 niñas) la edad de inicio fue de 9 a 17 años (Ped 2012) con presentación de PR, como signo inicial.
Este síndrome, debe ser considerado cuando se enfrentan a un paciente con parotiditis recurrente, sexo femenino y mayor de 5-6 años de edad.
Estos pacientes suelen presentar un perfil distintivo de laboratorio y de autoanticuerpos y se beneficiarán de una derivación temprana a un reumatólogo pediátrico para el tratamiento y el seguimiento de las complicaciones de la enfermedad.       

Respecto de su asociación con SIDA, los pacientes portadores de esta inmunodeficiencia se presentan con otros síntomas clínicos mayores como desmedro, hepatomegalia, linfadenopatías, neumonía intersticial, infecciones virales y bacterianas recurrentes y aftas orales persistentes, además de parotiditis recurrente crónica que suele ser bilateral.

Muchas asociaciones han sido propuestas, tales como inmunodeficiencias, alergia, infecciones respiratorias superiores, paperas, etc. Ninguna de éstas, sin embargo, ha mostrado concluyentemente tener alguna relación con esta enfermedad.
Estudios recientes demuestran que la saliva de la glándula afectada en la parotiditis recurrente está alterada con respecto a la saliva normal (controles), mostrando concentraciones más altas de proteínas; metaloproteinasas con actividad pro-inflamatoria, estas enzimas han sido asociadas con destrucción tisular en periodontitis, lesiones progresivas en caries dentales, y una variedad de otras enfermedades orales.

Y que algunas de las diferencias moleculares podrían están relacionadas con la etiopatogenia de la entidad y puede tener gran relevancia para el futuro manejo de esta. 
Por otro lado estudios realizados con RM, encuentran que las lesiones quísticas y las dilataciones acinares son exclusivamente halladas dentro de la parótida, y los quistes principalmente en niños quienes han tenido múltiples episodios inflamatorios, y menos frecuentemente en la fase aguda inicial, indicando que la malformación congénita del acino es improbable; es más probable  que estos quistes sean adquiridos como resultado de infecciones crónicas. Los niños examinados en fase crónica, todos mostraron extensas malformaciones quísticas acinares dentro de la parótida. Estos hallazgos soportan la hipótesis que la PR se caracteriza por exacerbaciones agudas recurrentes de inflamaciones sobre la base de una enfermedad destructiva progresiva de la glándula. Negando así la etiología congénita de la entidad.

Otros investigadores encuentran un déficit selectivo de IgA en esta enfermedad, sugiriendo que la parotiditis recurrente puede relacionarse con una inmunodeficiencia subyacente, tal como una inmunodeficiencia común variable. Pero por su tendencia a una resolución espontánea y un excelente pronóstico, parece apropiado estudiar en estos pacientes, niveles de Ig y, en caso de anormalidad, determinar subclases de IgG.

¿Por qué desaparecen los síntomas en la adolescencia?

Es bien conocido que los episodios de parotiditis desaparecen cuando se alcanza la pubertad. La razón para el alivio de los síntomas no se conoce. Se ha mostrado en animales de estudio; que durante la pubertad la expresión genética de las kalicreinas titulares (enzimas con actividad tripsina-like) en las glándulas salivares, son reguladas por los andrógenos. Estas enzimas liberan péptidos bioactivos que contribuyen al desarrollo de edema intersticial en la parotiditis crónica. Ciertos grupos de estas enzimas son expresados en la glándula inmadura pero no en la glándula salivar madura. Esta interrupción en la expresión de la enzima en la pubertad sugiere una regulación por las hormonas sexuales. Entonces es posible que la maduración puberal induzca un cambio en la cascada de la actividad de las enzimas proteoliticas, y por esta razón la incidencia del agrandamiento idiopático de la parótida disminuya en la adolescencia.

CLINICA

La PRJ se presenta como una inflamación recidivante dolorosa durante la masticación y/o la deglución. La enfermedad habitualmente comienza en un niño de entre 3 y 6 años de edad, pero ha sido observada antes y después de estas edades (3 meses a 16 años). La mayoría de los estudios reportan una predisposición por varones, con inversión de esta tendencia y predominio de mujeres, cuando el comienzo de los síntomas se produce después de los 16 años.

La inflamación está acompañada por dolor local así como síntomas sistémicos tales como fiebre y malestar general. La sintomatología usualmente es unilateral y cuando es bilateral hay más predominio de un lado. Entre los episodios agudos, los cuales pueden durar de 4-7 días, los niños pueden tener intervalos de meses a años libres de síntomas. El número de ataques varía individualmente, con episodios cada 3 o 4 meses como patrón más común. El pico de síntomas ocurre en el primer año escolar. En la pubertad, la frecuencia de estos episodios disminuye y puede remitir completamente en la adultez.

La inflamación es generalmente de aparición brusca y se acompaña de leve sintomatología sistémica que puede incluir fiebre. Asocia xerostomía y con relativa frecuencia descarga de material mucopurulento a través del conducto de Stenon.

En un estudio se tomaron muestras de saliva de 56 pacientes y 20 controles, de 57 muestras de saliva de los pacientes con PRJ, 52 (91%) eran  positivas. Los microorganismos aislados con mayor frecuencia fueron Streptococcus pneumoniae (Spn) y Haemophilus influenzae (Hi). 1/3  de las cepas de Spn fueron resistentes o moderadamente resistente a la penicilina, y todas las cepas de Hi fueron sensibles a todos los antimicrobianos probados.
Spn o Hi, fueron aislados en altas concentraciones en los casos PRJ, pero no en los controles, lo que sugiere que estos microorganismos pueden tener un papel en el desarrollo de esta entidad clínica. Los cultivos cuantitativos son muy importantes en la evaluación de la función patogénica de estos microorganismos en los pacientes, pero no en los controles.        

 

DIAGNOSTICO

El diagnóstico de esta entidad se basa en el cuadro clínico y los estudios por imágenes. Los test bioquímicos no son de utilidad ya que no puede demostrarse enfermedad sistémica en pacientes que están sanos en otros aspectos.
El diagnóstico por imágenes nos ofrece varias posibilidades.     
En primer lugar la ecografía que muestra un agrandamiento difuso de la glándula afectada, disminución global de la ecogenicidad con imágenes internas heterogéneas hipoecoicas de 2 a 4 mm de diámetro. El análisis histopatológico sugiere que estas áreas representan ductos periféricos dilatados con infiltración linfocítica. En un estudio realizado por Nozaki 1994, se vieron áreas hipoecoicas en todas las glándulas aumentadas de volumen y en algunas con volumen normal.    

Comparando este método con la sialografía, las posibilidades diagnósticas no difirieron con ambas técnicas. La ecografía no sólo informa sobre el diagnóstico de la enfermedad sino también sobre la severidad, pronóstico, tratamiento y seguimiento de los pacientes.

Lo antedicho, sumado a que se trata de un procedimiento no invasivo, inocuo, que no necesita preparación del paciente, de fácil realización y aceptación por los niños, con la ventaja de identificar otras alteraciones como procesos inflamatorios localizados, tumores, etc., la convierten en el método diagnóstico de primera elección.

Antiguamente, la sialografía fue la base del diagnóstico, aunque su rol se ha vuelto secundario, al de la ecografía.
 


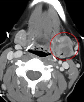
La TC o la RNM deben reservarse para los casos en que el diagnóstico de parotiditis recidivante ofrezca dudas, o ante la presencia de otros procesos patológicos, para los cuales son más confiables.


La ventaja de la RNM comparada con la ecografía y la sialografía es el hecho de que la anatomía de la glándula no está alterada por la técnica, lo cual lleva a una exacta delineación de acinos y ductos parotídeos, que en la ecografía pueden estar comprimidos por el transductor y en la sialografía dilatados por la inyección de material de contraste.      
Algunos investigadores proponen diagnosticar por endoscopía del conducto de Stenon, considerando que los “típicos” hallazgos endoscópicos (apariencia pálida de la mucosa ductal, sin la cobertura normal de los vasos sanguíneos), justifican pensar en una disfunción del conducto que lleva la malformación de la glándula.

TRATAMIENTO

La historia natural de la enfermedad es variable y en adultos habitualmente es necesaria una intervención más agresiva que en niños. Además, no hay una explicación satisfactoria para su tendencia usual a remitir espontáneamente luego de la pubertad. Todo esto ha resultado en considerable incertidumbre respecto de su manejo apropiado.
Un plan de manejo terapéutico debería tomar en cuenta tres situaciones diferentes: 1- tratamiento de episodios agudos, 2- prevención de las recurrencias y 3- manejo de episodios recurrentes que continúan hasta la adultez.
El tratamiento del episodio agudo tiende a aliviar los síntomas y a prevenir el daño del parénquima glandular. Analgésicos y antibióticos han sido rápidamente efectivos en el alivio del dolor e inflamación. Aunque puede usarse amoxicilina/clavulánico, la penicilina es considerada adecuada.  La mayoría de los trabajos acuerdan en la práctica, pero muchos cuestionan si los antibióticos realmente cambian el curso de la enfermedad, y se preguntan si la resolución de los síntomas podría reflejar simplemente la progresión natural de la misma. Además de antibióticos y analgésicos, otros tratamientos incluyen agentes sialagogos para aumentar el flujo de saliva, calor y masajes, y el sondeo del ducto. Los corticoides pueden reducir la inflamación, pero no previenen las recurrencias. Posiblemente no se justifique el empleo indiscriminado de antibióticos, ni los tratamientos intracanaliculares o quirúrgicos destinados a aliviar supuestas obstrucciones de los conductos excretores, ni las compresiones manuales de la glándula.
La prevención de recurrencias es difícil y usualmente infructuosa, pero puede ser de ayuda prevenir la deshidratación y prescribir un curso profiláctico de penicilina o amoxicilina/clavulánico durante el invierno; no hay estudios disponibles, sin embargo, para sustentar esta creencia.   

En cuanto a los ataques recurrentes que continúan hasta la adultez, se han propuesto tratamientos más agresivos quirúrgicos como ligadura del ducto (operación simple, pero con resultados variables), parotidectomía (presenta buenos resultados, pero con un riesgo pequeño de daño del nervio facial) y neurectomía timpánica (con buenos resultados en manos de equipos experimentados). Existen otros tratamientos como radioterapia, métodos como instilación de tetraciclinas y algunos estudios hallaron que la realización del estudio sialográfico en sí mismo resulta en una significativa mejoría de los síntomas con la hipótesis de que esta mejoría resulta de las acciones de dilatación y antisepsia del yodo contenido en el material de contraste.
La PRJ puede auto-limitarse en unos 5 -10 años, pero la enfermedad puede continuar en la adultez, algunos investigadores reportan buenos resultados con la combinación de sialendoscopia y aplicación intraductal de corticosteroides, lo que puede ser recomendado para cualquier niño con PRJ como una herramienta diagnostica y terapéutica, hay una evidencia creciente con respecto a esta terapéutica, por sus buenos resultados y ausencia de efectos colaterales.     

DISCUSIÓN

La PR es una entidad relativamente rara y de difícil manejo en pediatría. Luego de la evaluación de nuestros casos y revisión de la bibliografía, proponemos un plan de diagnóstico y manejo terapéutico.

La mayoría de los trabajos analizan de forma retrospectiva la parotiditis juvenil, pero cuando se  evaluó la cuestión de forma prospectiva, y se recoge en uno de los más grandes grupos informaron de casos pediátricos parotiditis.  
La mayoría de los pacientes tenían valores bajos de leucocitos en la sangre y PCR también. Cada otro paciente recibió sólo tratamiento sintomático y tuvo un resultado excelente. Por lo tanto, esto sugiere que, sobre todo si los síntomas parótidas son recurrentes, y no hay signos de complicación, el tratamiento con antibióticos no es necesario.