Dr. Juan Carlos Iannicelli
banner
30120 visitas Publicada: 05/02/13

HIMEN EN PEDIATRIA: POLIPO O TAG

¿Existe un tabú para no revisar los genitales femeninos?

La morfología himeneal varía con la edad y con los cambios hormonales (variación en los niveles de estrógenos). Al nacer existe un tejido himeneal redundante, que disminuye posteriormente, al descender los niveles séricos de estrógenos, persistiendo al año de vida en un 42% de las niñas. Esto va a dar lugar a un cambio en la configuración del himen, en el número de bandas, muescas, y pólipos himeneales.


La morfología del himen más frecuentemente encontrada al nacimiento es la anular seguida de la fimbriada, mientras que en niñas mayores la forma más frecuente es la semilunar.
El himen Fimbriado llamado así porque asemeja las fimbrias de la trompa de Falopio, está constituido por innumerables lengüetas delgadas que convergen hacia el centro del himen.

En el himen, pueden existir tumoraciones blandas, muy móviles y pediculadas que son las carúnculas himeneales, que tienen tendencia a regresar espontáneamente. Si no disminuyen pasado el influjo hormonal materno, pueden resecarse.

 

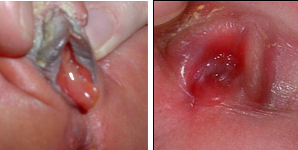
Dentro de las variaciones congénitas de la mucosa himeneal, el pólipo o tag es la variante anatómica mas hallada.

Se trata de excrecencias de la mucosa relacionadas con las hormonas maternas y que tienden a desaparecer espontáneamente, al disminuir el efecto de los estrógenos maternos. Se estima que su incidencia está cerca a un 6%. 

Se describen como prominencias a nivel del margen himeneal, rosadas y lisas. Suelen localizarse en la parte dorsal del himen y en la parte superior e inferior más frecuentemente que la lateral. Su tamaño varía entre 3-4 cm. Su forma suele ser alargada, como una lengüeta.

Si la formación no desaparece con el tiempo, una vez que el estimulo hormonal desaparece, podría evaluarse, en este caso la resección (Acta Dermatoven APA Vol 18, 2009, No 4), por lo general causa una reacción inflamatoria como respuesta al roce y los fluidos vaginales, por lo cual debe ser eliminado.

 

¿Existe un tabú para no revisar los  genitales femeninos?

Tabú,  designa a una conducta, actividad o costumbre prohibida, moralmente inaceptable, impuesta por una sociedad, grupo humano o religión.

En el siguiente estudio se observa que, durante la observación de 123 exámenes físicos, hechos por pediatras,  durante exámenes de salud, se trato de evaluar la frecuencia de exámenes genitales hechos a varones y niñas, comparado con los exámenes de los oídos, corazón y abdomen.

Se evaluaron 65 observaciones en 21 varones y 58 observaciones de 18 niñas. Mientras los médicos revisaban los oídos, corazón y abdomen, de los pacientes pediátricos en un 97% o más, independientemente del sexo o edad del niño, los genitales masculinos se revisaron un 84% de las veces, en cambio los genitales femeninos, solo fueron examinados el 39% de las veces.

Los genitales femeninos, fueron examinados aproximadamente la mitad de las veces que los masculinos, a todas las edades, con una tendencia a una menor frecuencia en los niños mayores. Los médicos varones o mujeres examinaron los genitales femeninos menos frecuentemente que los masculinos. Se concluye que es necesario un mayor énfasis en programas de capacitación del personal en el examen de los genitales.