Dr. Juan Carlos Iannicelli
banner
3916 visitas Publicada: 08/10/13

ASPIRACIÓN DE CUERPO EXTRAÑO EN NIÑOS.

UN CUADRO EVITABLE. Información para padres.

INTRODUCCIÓN

La asfixia es la obstrucción en la vía aérea o impedimento de la respiración por un cuerpo extraño,   incluyendo la faringe, hipofaringe, y la tráquea. La obstrucción de las vías respiratorias puede ser mortal, si el impedimento es completo, ya que conduce a un deterioro grave de la oxigenación y la ventilación.
La asfixia es una causa importante de morbilidad y mortalidad entre los niños, especialmente los que tienen 3 años de edad o menos. Esto es en gran parte debido a las vulnerabilidades en el desarrollo de las vías respiratorias de un niño pequeño y la capacidad inmadura de masticar y tragar los alimentos.
Más de 20 millones de accidentes no fatales en niños, se estima que ocurren en U.S. por año.    

Alimentos, monedas y juguetes son las principales causas relacionadas con lesiones de asfixia y muerte.
Algunas características, como la forma, tamaño y consistencia, de determinados juguetes y alimentos aumentan su potencial de causar asfixia en los niños.
Los niños pequeños también comúnmente se llevan objetos a la boca mientras exploran su medio ambiente.     

Asfixia no relacionada alimentos

 

Monedas y juguetes representan la mayoría de los eventos de asfixia no alimentarios relacionados con los niños. La compra de juguetes para los niños con hermanos más jóvenes representa un reto para los padres. Ellos pueden tener dificultades para satisfacer las necesidades de desarrollo de juegos de los niños mayores, mientras se enfrentan a las necesidades de seguridad de un hermano más joven.
Los juguetes que sean aceptables para los niños mayores, a veces tienen piezas pequeñas o desmontables que pueden suponer un riesgo de asfixia para el hermano o hermana menor.   

FACTORES ANATÓMICOS Y FUNCIONALES

Un bebé tiene el desarrollo capaz de succionar y tragar y está equipado con reflejos involuntarios (nauseas, tos y cierre de la glotis) que ayudan a proteger contra la aspiración durante la deglución. La dentición se desarrolla   aproximadamente hacia los 6 meses, con la erupción de los incisivos. Los molares son necesarios para masticar y triturar la comida y no erupcionan hasta aproximadamente 1,5 años de edad. Sin embargo, las capacidades de masticación mayores tardan más en desarrollarse y mantenerse relativamente incompletos toda la primera infancia.

Los niños pequeños, y los niños con discapacidad en el desarrollo neurológico tampoco tienen las habilidades  generales, control conductual, o la experiencia para masticar bien y comer despacio, y en ellos son más frecuentes estos accidentes.
A pesar de un fuerte reflejo nauseoso, las vías respiratorias de un niño son más vulnerables a la obstrucción en comparación a un adulto de varias maneras.  
La tos en un niño menor puede ser menos eficaz que en un adulto, para desalojar un cuerpo extraño alojado en la vía aérea.
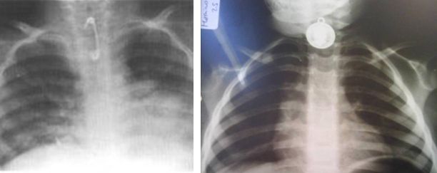
El moco de las secreciones a manera de una reacción defensiva alrededor de un cuerpo extraño, pueden reducir aún más el diámetro de la vía aérea, en algunos casos este mecanismo hace que se adhiera el cuerpo extraño a la pared de la vía aérea, dificultando más su expulsión, ya sea por la tos o la maniobra de Heimlich (figura)          

La vía aérea del niño tiene un diámetro más pequeño por lo tanto es más probable que se obstruya en forma significativa con pequeños cuerpos extraños.


La resistencia al pasaje del flujo aéreo, por cuestiones relacionadas con la sección transversal pequeña, condiciona que mínimos cambios en la obstrucción de la vía respiratoria de un niño pequeño, conduzca a cambios drásticos en la resistencia del pasaje de aire.
Una descripción completa de los eventos no mortales de asfixia en niños es limitada, ya que muchos de estos cuadros son transitorios, no conducen a una aspiración, y por lo tanto no dan lugar a consultas a profesionales de la salud. Muchos episodios, por lo tanto, no se reportan. Eventos de asfixia que se traducen en un tratamiento médico de emergencia o broncoscopia son los episodios más graves y generalmente son los registrados en detalle.
Chapin et al., publican en Pediatrics 2013, el primer estudio epidemiológico enfocado solamente a los casos de aspiración no fatales, en un lapso de 9 años, en EE.UU.    
Se estima que 111.914  niños de 0 a 14 años fueron tratados en el hospital de EE.UU. en sala de emergencia, desde 2001 hasta 2009 para asfixia no fatales relacionadas con los alimentos, dando un promedio de 12.435 niños al año y una tasa de 20,4 visitas por 100 000 habitantes.

La edad media de los niños tratados por asfixia no mortales relacionadas con los alimentos fue de 4,5 años. Los niños de ≤ 1 año representaron el 37,8% de los casos, y los hijos varones representaron más de la mitad (55,4%) de los casos.

De todos  los tipos de alimentos, caramelos duros  fue más frecuente (15,5%) asociado con ahogos, seguido de otros dulces, (segundo episodio de caramelo duro)(12,8%), la carne (12,2%), y el hueso (12,0 %).

La mayoría de los pacientes (87,3%  fueron atendidos y dados de alta, pero el 10,0% (11 de 218) fueron rehospitalizados por un segundo episodio, y el 2,6% (2.911) desestimaron el  consejo médico en cuanto a precauciones para prevenir el accidente.

Los alimentos riesgosos para niños pequeños

Los niños menores de 4 años de edad no deben recibir alimentos, firmes redondos a menos que hayan sido cortados en trozos muy pequeños. Los siguientes alimentos son peligros comunes de asfixia:

Consejos para la prevención

 

 

RECOMENDACIONES DE LA ACADEMIA AMERICANA DE PEDIATRIA.

Cómo prevenir la asfixia

¿Qué puedo hacer para que mi hijo no se asfixie?  

Asfixiarse es una causa muy común de lesiones no intencional en niños menores de un año, y el peligro sigue siendo significativo hasta los cinco años. Los objetos como los ganchos de seguridad (imperdibles), partes pequeñas de juguetes y monedas pueden hacer que un niño se asfixie, pero los alimentos son los responsables de la mayoría de incidentes. Debe estar particularmente pendiente cuando los niños de aproximadamente un año de edad prueban alimentos nuevos. Estas son algunas sugerencias adicionales para prevenir que su hijo se asfixie.

http://www.healthychildren.org/spanish/Paginas/default.aspx.

Los riesgos de asfixia en la niñez deben abordarse a través de actividades de prevención integral y coordinada.
Las instituciones encargadas de la seguridad relacionada con los productos de consumo, deben aumentar los esfuerzos para garantizar que los juguetes que se venden en contenedores, al por menor, máquinas expendedoras, o en Internet deben tener adecuada advertencias sobre los peligros de asfixia, el trabajo con los fabricantes para mejorar la eficacia de la retirada del mercado de productos que presentan un riesgo de asfixia para los niños, y aumentar los esfuerzos para prevenir la reventa de estos productos retirados del mercado a través de sitios de subastas en línea.